Veneer
Case ID: 3435
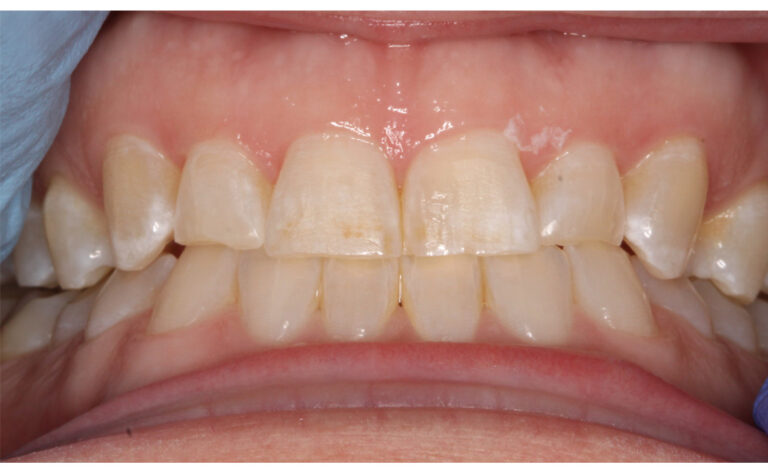
Our patient didn’t like the way her front teeth looked due to erosion. She elected to do the front four teeth to improve her smile.
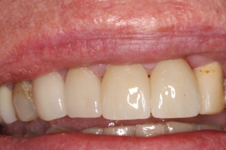
VeneerCase ID: 3432
Because her upper teeth were failing, the patient had her upper teeth removed one week prior and an immediate denture placed. She is so happy with the outcome and confidence to smile again.
Immediate DenturesCase ID: 3418
The patient’s front two lateral incisors were severely misaligned. She didn’t want to go through traditional brackets/braces but wanted her front teeth to be visible when she smiled. She was amazed at how far her teeth moved in 18 months.
Clear AlignersCase ID: 3390
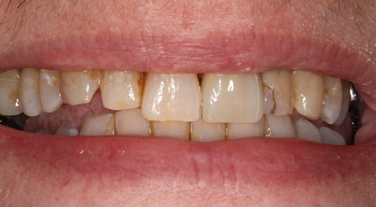
Patient broke their front tooth and needed it fixed before a family event.
Chipped Tooth/Filling