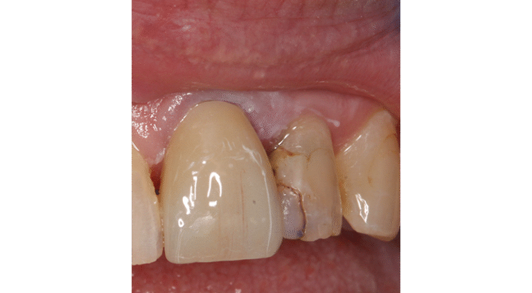
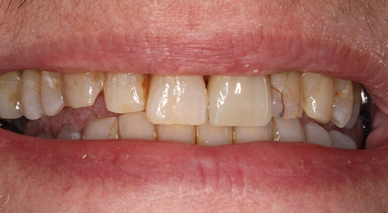
Crown on front tooth

Case ID: 3393

Individual results may vary.

Case Details

Patient broke her front tooth.


Other Crowns Patients

Contact Us Today

*All indicated fields must be completed.
Please include non-medical questions and correspondence only.

Monday: 8:30 am–5 pm
Tuesday: 8 am–5pm
Wednesday: 8:30 am–5 pm
Thursday: 8:30 am–5 pm
Friday: 8 am–1 pm
Saturday & Sunday: Closed

Accessibility Toolbar