Clear Aligners

Case ID: 3418

Individual results may vary.

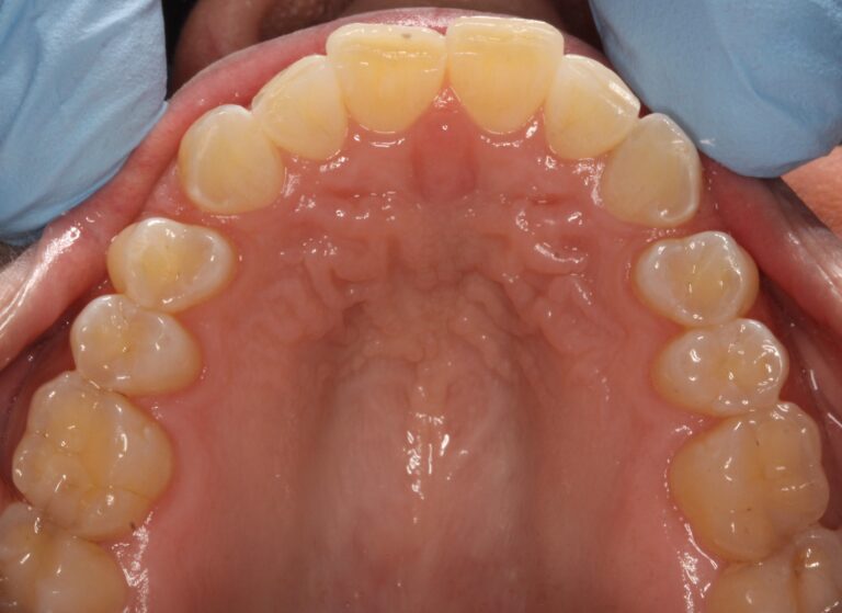
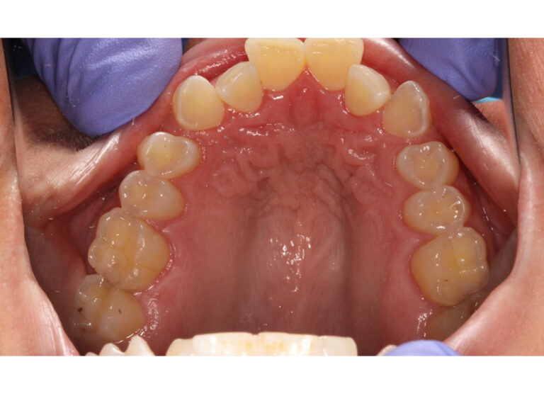
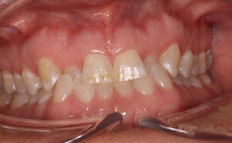
Case Details

The patient’s front two lateral incisors were severely misaligned. She didn’t want to go through traditional brackets/braces but wanted her front teeth to be visible when she smiled. She was amazed at how far her teeth moved in 18 months.


Other Clear Aligners Patients

Accessibility Toolbar